Dott. Fiore Conca
studio dentistico
a Roma Tor Vergata
studio dentistico a
Rom Tor Vergata
Entra in contatto
Professionalità
Perchè scegliere il Dott. Conca?
- Odontoiatria estetica
- Riabilitazioni endodontiche
- Riabilitazioni protesiche
- Riabilitazioni implantologiche
- Riabilitazioni parodontali
- Implantologia a carico immediato
Servizi
Le nostre specializzazioni
Lo specialista
Odontoiatra
Dott. Fiore Conca
Sorrisi splendenti e cure all'avanguardia
per la tua
salute orale
Conservativa
Conservativa
Estetica
Estetica
Implantologia
Implantologia
A Roma
Il nostro studio
Innovazione e avanguardia
Implementazione delle ultime scoperte scientifiche per trattamenti odontoiatrici più efficaci, rapidi e sicuri, garantendo risultati ottimali.
Ambiente accogliente e rilassante
Studio progettato per offrire una sensazione di calma e comfort, con un’accoglienza calda e un’atmosfera rilassante per i pazienti.
Sanificazione riuniti
La sanificazione del riunito odontoiatrico avviene ogni volta che si rende necessaria e sempre al cambio paziente, con l’utilizzo di presidi medici antibatterici autorizzati dal ministero della sanità.

L'esperienza di Daniela
L' esperienza di Davide
L' esperienza di Luisa
Recensioni
Dicono di noi
Le esperienze dei nostri pazienti
“Il dott. Conca è una persona molto umana, primo, che mette a proprio agio e con cui si riesce anche a d aprirsi, a dire le proprie impressioni…”
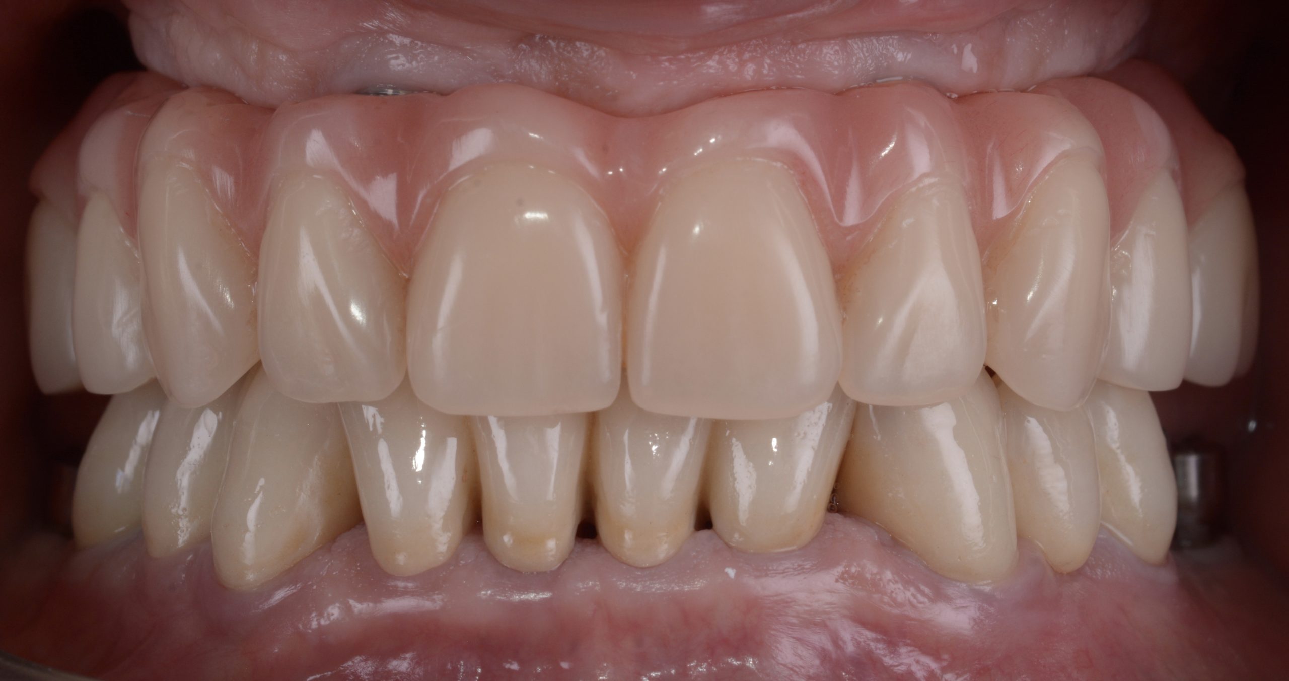
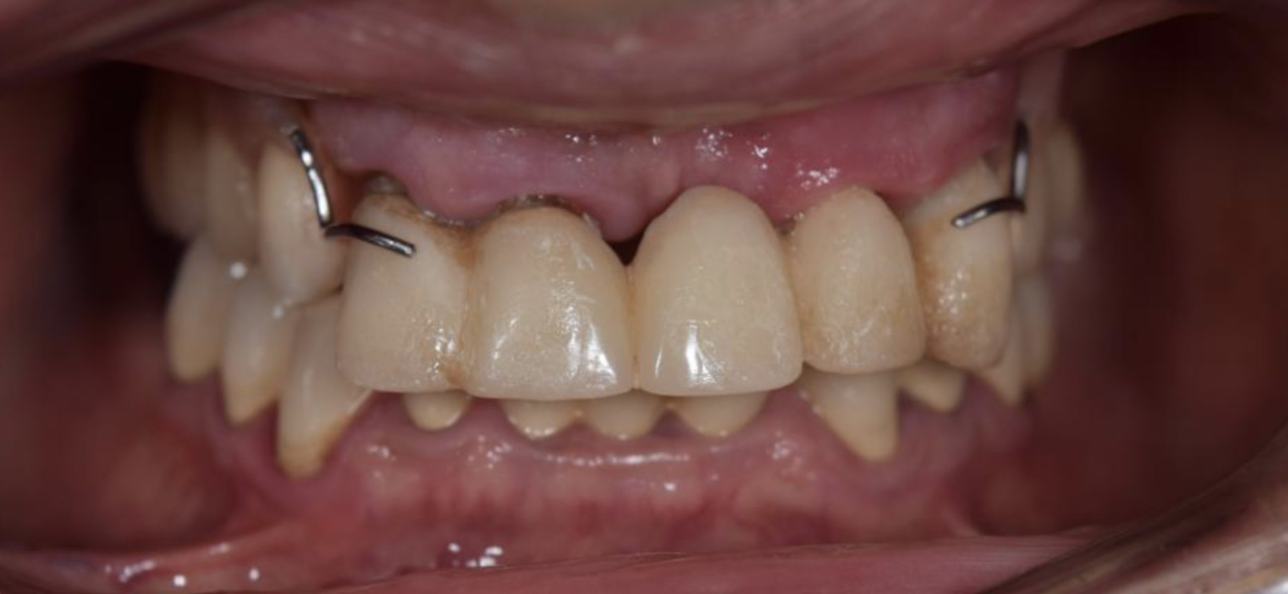
Casi studio
Risultati tangibili
Le esperienze dei nostri pazienti
La riuscita degli interventi documentata in modo concreto con il percorso pre e post intervento, evidenziando la precisione e l’efficacia dei trattamenti odontoiatrici.
Recensioni
Dicono di noi
Le esperienze dei nostri pazienti
“Il dott. Conca è una persona molto umana, primo, che mette a proprio agio e con cui si riesce anche a d aprirsi, a dire le proprie impressioni…”
L'esperienza di Daniela
L' esperienza di Davide
L' esperienza di Luisa
Professionalità, competenza, gentilezza e cordialità. Il Dott.Fiore Conca e la passione per il suo lavoro sono tangibili....


Ambiente accogliente, staff gentile. Mi hanno fatto sentire a mio agio. Sorriso bellissimo!

[...] voglio esprimere la mia soddisfazione per la professionalità e la competenza dimostrata. Impiega tutto il tempo necessario per spiegare e dare consigli sul da fare...

Il dott. Conca è uno dei più bravi dentisti in circolazione, attento anche a soddisfare ogni esigenza conoscitiva dei pazienti. Professionale e gentile anche il personale di segreteria...
Articoli utili dal
magazine































